TRC-50DX, 眼底相机



Short description

TRC-50DX, 眼底相机
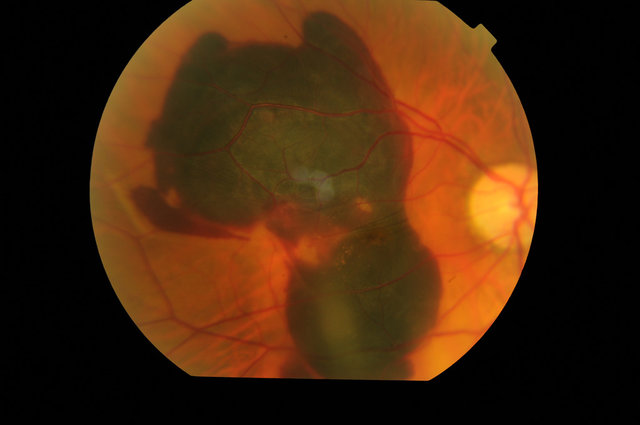
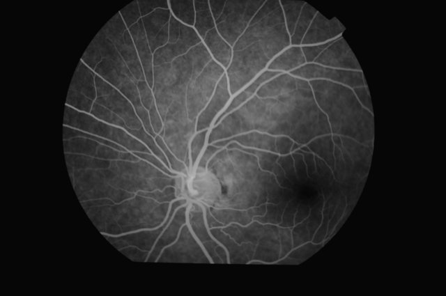
TRC-50DX系列是视网膜成像的黄金标准,TRC-50DX提供彩色,无赤光,荧光素造影,吲哚青绿造影的完整数字文档。 Read more>

Key Features

  • 颜色,无赤光,荧光素标准
  • 荧光素造影,自动荧光可选
  • 20,35,50个覆盖角度
  • 易于使用的触摸屏控制面板
  • 易于聚焦的系统,带分体式对焦杆
  • 可与各种数码相机配合使用
  • 与IMAGEnet i-base连接


产品规格

自发荧光 彩色/无赤光/ 荧光素血管造影
对于IA型:彩色/无赤光/ 荧光素血管造影/吲哚青绿造影/自发荧光
覆盖角度 选项(并非在所有国家/地区都可用)
对于IA型:O
摄影放大倍数 50˚/35˚/20˚
工作距离 使用35mm相机,零屈光度; 1.84x 50˚,2.45x 35˚,4.28x 50˚
39毫米
屈光度补偿 0 -10D~ + 6D

Description

TRC-50DX系列是视网膜成像的黄金标准。它具有比市场上任何眼底相机更多的数字支持功能,是目前市场上最复杂,最完整的视网膜捕获设备。

TRC-50DX是医生诊断的主要助手。它是一款彩色眼底图像相机,可拍摄无赤光图像和荧光血管造影图像的多功能眼底照相机。TRC-50DX也可以升级为荧光素造影和自发荧光造影。

Spaide自发荧光滤光片
Spaide AF滤镜是经过优化的自发荧光滤光片,专为Topcon的IMAGEnet系统设计。由纽约Vitreous Retina Macula顾问公司的医学博士Richard F. Spaide博士开发,这些新的匹配干涉滤光片经过优化,可以更好地显示眼底自发荧光。通过改进的科学技术和最先进的制造工艺完善的激发和屏障滤波器,新滤波器的效率比现有的自发荧光滤波器高约20倍,曝光量减少40%。

便于使用
触摸面板允许操作员在程序之间切换。TRC-50DX自动选择正确的过滤器。闪光灯设置也可以通过触摸面板完成,这对操作员来说非常方便。分割图像聚焦使摄影师能够以最小的努力拍摄清晰的清晰图像。

TRC-50DX眼底照相机可以集成在成像数据库系统Topcon IMAGEnet i-base中。


2026年05月10日